この記事では、「DPEARL」の評判と実際の口コミを徹底調査しました。
DPEARLの特徴や実際の患者さんの声を分析し、どんなマウスピース矯正のシステムなのかご紹介しています。
マウスピース矯正を検討している方はぜひこの記事を参考にしてください!
d latte編集部 みさき
歯科衛生士歴12年。総合病院の歯科口腔外科で経験を積んだ後、現在は一般歯科クリニックで予防歯科を中心に従事。患者さんとのコミュニケーションを大切にし、分かりやすい口腔ケア指導に定評がある。2児の母として育児と仕事の両立に奮闘中。同じ境遇の歯科衛生士さんに寄り添う記事執筆を心がけている。
※本記事で紹介している商品にはPR商品を含みますがランキング・コンテンツ内容はd latte編集部調査をもとに作成しています。また本記事内の情報は一般的な知識であり、自己判断を促すものではありません。
DPEARLとは?

引用:DPEARL公式
DPEARL(ディパール)は、株式会社フィルダクトが運営する日本発のマウスピース矯正ブランドです。
DPEARLは、部分的な歯並びだけでなく口全体を整える全顎矯正にも対応しており、臨床ドクターと矯正専門技師が一人ひとりに合わせて設計。見た目の美しさと機能性の両方を兼ね備えた矯正を目指しています。
また、治療中はスマホで撮影した歯の写真をもとに130項目を細かくチェックしながら経過を確認。通院の負担を抑えつつ安心して矯正を受けられるのも特長です。

料金は30万円台からの定額プラン制で、費用の見通しが立てやすく初めての方にも安心のサービスですね!
DPEARLの良い評判!
ここでは実際にDPEARLの矯正治療を受けたことのある患者さんの本音の口コミをご紹介しています。
先生が良い人で不安がワクワクに変わった!
#dpearl
— H1karu SA1T0@しがないインフラエンジニア🐈 (@hikkie13) June 14, 2020
歯科矯正の無料診断受けてみた!
3Dスキャンと価格破壊にワクワクするー😊
ドクターの方も良い人で、安心感ありましたね! pic.twitter.com/4eUuZMSuQB
矯正を考えていても「先生が怖かったらどうしよう」「ちゃんと話を聞いてもらえるかな」と不安になる人は多いものです。
特に初めての診断では、緊張でうまく希望を伝えられないこともありますよね。DPEARLでは、実際に先生の雰囲気が穏やかで安心できたという声がありました。
落ち着いた雰囲気の中で診断を受けられたことで、3Dスキャンの説明にも自然と興味を持てたという声も。初めての場でも構えずにいられたことが、矯正に前向きになれた理由のひとつと言えそうです。
ワイヤーより目立たず自然なのでストレスを感じない
矯正に興味はあっても、「ワイヤーが目立つのは嫌だな…」と迷う人は多いですよね。DPEARLのマウスピース矯正は透明で目立ちにくく、装着中の違和感も少ないのが特長です。見た目を気にせず人と接することができ、日常生活に自然になじみます。
さらに、ワイヤー矯正より費用を抑えやすく、短期間で完了を目指せるのも嬉しいポイント。無理なく始められる条件が整っているため、「これならやってみたい」と感じる人も多いようです。
なんか雰囲気がいいかも!と惹かれるデザイン
#DPEARL(ディパール)さんの広告がインスタで流れてきたから覗いてみたら、サイトがお洒落だしスクロールもスムーズだし可愛いしちょっと試してみたくなった。
— 🌳 (@_kicchan52) January 21, 2022
矯正治療と聞くと専門的で少し堅苦しいサイトを想像してしまい、見る前から気後れしてしまう人もいるのではないでしょうか。
DPEARLは公式サイトのデザインが「お洒落で可愛い」と感じる方が多いようです。矯正治療の持つ堅いイメージを払拭するような清潔感のある柔らかなデザインが、「ちょっと話を聞いてみてもいいかも」という安心感につながっています。
治療内容だけでなく第一印象の良さが矯正へのハードルを下げ、最初の一歩を後押ししてくれるのかもしれません。
「矯正=高い」というイメージを変えるリーズナブルな料金
歯科矯正の価格破壊!周りに価格面で迷ってる人多いので頑張って欲しい!#DPEARLhttps://t.co/HU4RpVAfTy
— 萱嶋卓 KAYASHIMA SUGURU (@kayashimaru) March 17, 2020
矯正は費用が高くて迷う人が多い中、DPEARLは30〜60万円ほどと比較的始めやすい価格帯が魅力です。再診料などの追加費用はありますが、4つの基本プランは定額制のため、治療の途中で大きく費用が増える心配はありません。
料金は一般的な相場のおよそ半分程度と抑えられており、3Dプリンターなどの最新技術と独自のシステムによって、品質を保ちながらコストを削減しています。高額なイメージのある矯正も、無理なく検討できる選択として注目されています。
あっという間に整って仕上がりに大満足!
矯正でお世話になっています。先生、衛生士の方、受付の方、みなさんとても丁寧で優しい方ばかりです。歯並びもシュミレーション通りでスムーズに進みあっという間に終わりました。綺麗になった歯を見るのが本当に嬉しいです。ホワイトニングも検討中なので説明をしていただきましたが無理に契約を進めてくることもなく本当に親切です。
「最短◯ヶ月で終わるマウスピース」と聞くと、早さは魅力でも本当にきれいに仕上がるのか不安に感じる人もいるでしょう。DPEARLでは、実際に短期間で終わったのに仕上がりがとてもきれいだったという声が寄せられています。
治療前のシミュレーションをもとに歯の動きを0.1mm単位で設計し、熟練の技工士が一人ひとりに合わせてマウスピースを製作。
そのため、スピーディーでありながらも丁寧な矯正ができ、自然で美しい仕上がりを目指せます。

早さだけでなく、納得のいく仕上がりを大切にしたい人に選ばれている矯正です。
DPEARLの悪い評判は?失敗した人・後悔した人はいる?
矯正治療の効果は個人差があるため、口コミや評判も参考にしながら、受診をする歯科医院の先生ともよく相談をした上で治療を受けるかどうか決めるのが安心です。
歯並びが複雑すぎて治療対象外だった
問題だらけの歯でした。そりゃそうよね。
— hAЯukA👾1029有明 (@__1rrrrr6) December 7, 2024
ディパールでは矯正不可ですって。
でも本当にどうにかしたいこの前歯‼️
歯並びの状態によっては、DPEARLではマウスピース矯正が難しいと判断されるケースがあります。精密なシミュレーションの結果、無理な治療によって噛み合わせや歯の健康に影響が出る可能性があるときは、治療対象外となることも。
リスクを避けて安全性を優先しているため難しいケースもありますが、まずはカウンセリングで確認してみることが大切です。
スタッフの対応に不満を感じた
マウスピース矯正考えてる人に絶対DPEARLは勧めない。
— りり (@LondonDOWBL) August 17, 2023
まじで歯医者の腕が良くてもディパールの対応がクソ。ちゃんと教育しろよ。
なんでもだよ向こうのミス。
スタッフの対応に不満を感じたという声がありました。DPEARLは提携クリニックごとに担当医やスタッフが異なるため、対応の仕方や雰囲気に違いが出ることもあるようです。どんなに治療内容が良くても、コミュニケーションがうまくいかないと不安や不満が残りますよね。

人との相性もあるからこそ、カウンセリング時に「話しやすい」「説明がわかりやすい」と感じられるかを確かめておくことが大切です。
DPEARLの特徴を5つご紹介!
ここではDPEARLの特徴をわかりやすくご紹介します!
全顎矯正にも対応!90%以上の症例カバー率
「歯並びが複雑でマウスピース矯正は難しい」「ワイヤー矯正でないと無理だと言われた」と過去にマウスピース矯正を諦めた経験がある人も少なくないでしょう。
DPEARLは、前歯だけでなく奥歯の噛み合わせまで整える全顎矯正に対応。他のマウスピース矯正では難しいとされる複雑な症例にも対応できるのが大きな特長です。
実際、DPEARLでは来院者の90%以上が治療対象となっており、これまで矯正が難しいとされた歯並びにも、マウスピースで対応できるケースがあります。
最新テクノロジーで0.1mmまでこだわる精密なマウスピース
マウスピース矯正の仕上がりは、治療前のシミュレーション精度と、そこから作られるマウスピースの正確さに大きく左右されます。どんなに丁寧に治療計画を立てても、マウスピースの精度が低ければ歯の動きにズレが生じ、「浮いてしまう」「計画通りに進まない」といったトラブルの原因に。
DPEARLでは最新のCADシステムで歯の動きを0.1mm単位で計算し、一人ひとりに最適化された治療計画を作成。精密な計画から作られるマウスピースはフィット感が高く、計画とのズレが生じるリスクを最小限に抑え、スムーズな歯の動きをサポートします。
月1回の通院とオンラインの手厚いWサポート
マウスピース矯正は自由に取り外せるのが大きな魅力ですが、その反面、自己管理が難しく「ついサボってしまい、計画通りに歯が動かない」というケースも少なくありません。DPEARLでは、こうした悩みに寄り添うため月1回の通院+オンラインのWサポートを導入。
月1回の通院では担当医が口内を直接チェックし、進捗確認や口全体の相談が可能です。
さらに、通院時以外は独自開発のLINE機能を活用。スマホで撮影した画像をAIが解析し、130項目を自動でチェックして計画とのズレを早期に検知します。もちろん、コンシェルジュへの相談も手軽にできるため、安心して治療を続けられます。
総額がわかりやすい4つの料金プラン
矯正治療を検討する中で、「毎月の調整料が重なって最終的な金額がわかりにくい」と感じる人も多いのではないでしょうか。
DPEARLは、歯並びの状態に応じた4つの料金プランを用意。軽度の後戻りから複雑な症例まで、30万円台からの定額制です。
基本料金には、治療完了までのマウスピースと保定リテーナー(一部)が含まれており、「あとから料金が増えていくのでは…」という心配がありません。費用の見通しが立てやすく、安心して治療をスタートできます。
※価格は2025年10月現在。
※プラン料金とは別に、初診料と再診料が必要です。
※マウスピースを破損・紛失した場合は、再製作費用がかかります。
※矯正治療は公的健康保険の適用外です。
最短3ヶ月で完了を目指すスピーディーな矯正プラン
DPEARLの大きな特長は、治療期間の短縮にこだわっているところにあります。軽度の症例なら最短3ヶ月で完了を目指せる早さは、特に見た目が気になる学生にとって大きなメリットになります。
友人と写真を撮るときや人前で笑うとき、「歯並びが気になって心から楽しめない…」という悩みは少なくありません。DPEARLの矯正は、ストレスを感じる期間をできるだけ短くし笑顔の毎日を早く取り戻すことを目指しています。
「コンプレックスのせいで学生生活を無駄にしたくない」という方にとって、DPEARLのスピーディーな治療は自信を取り戻すきっかけになるでしょう。
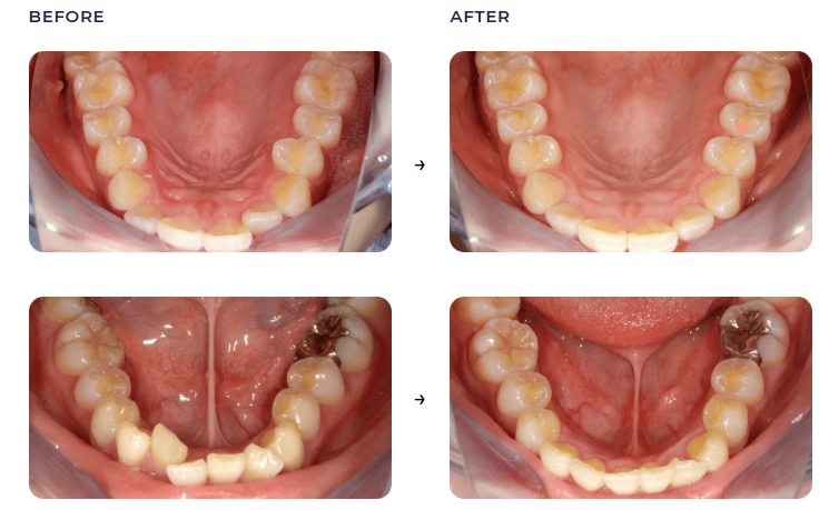
DPEARLの症例写真
症例1ガタガタした歯並び

治療費用:308,000円(税込)
治療プラン:SHORT PLAN
追加治療:アタッチメント、IPR主なリスク:虫歯・歯周病・治療中の噛み合わせの違和感・顎関節症・歯の失活・歯肉退縮・ブラックトライアングルなど
※効果には個人差があります。
引用元:DPEARL公式ホームページ
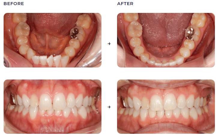
症例2 前歯部の叢生

治療費用:429,000円(税込)
治療プラン:STANDARD PLAN
追加治療:アタッチメント、IPR主なリスク:虫歯・歯周病・治療中の噛み合わせの違和感・顎関節症・歯の失活・歯肉退縮・ブラックトライアングルなど
※効果には個人差があります。
引用元:DPEARL公式ホームページ
症例3 下顎前歯部の捻転・正中不一致

治療費用:693,000円(税込)
治療プラン:HYBRID PLAN
追加治療:アタッチメント、IPR主なリスク:虫歯・歯周病・治療中の噛み合わせの違和感・顎関節症・歯の失活・歯肉退縮・ブラックトライアングルなど
※効果には個人差があります。
引用元:DPEARL公式ホームページ
DPEARLの矯正費用はどれぐらい?
| プラン名 | 目安期間 | 費用 | 主な対象症例 |
|---|---|---|---|
| SHORT | 平均3ヶ月 | 308,000円 | 軽度の後戻りなど |
| STANDARD | 平均6ヶ月 | 429,000円 | すきっ歯 軽度のガタガタなど |
| LONG | 平均9ヶ月 | 554,400円 | 中程度の叢生・軽度のねじれ・開咬など |
| HYBRID | 平均12ヶ月 | 693,000円 | 中〜重度の叢生・反対咬合など |
DPEARLでは、歯並びの状態に応じた4つの料金プランが設定されています。プラン料金には、治療完了までのマウスピースと後戻りを防ぐ保定リテーナー(一部)が含まれており、総額が分かりやすいのが特長です。一般的にマウスピース矯正の費用は60〜100万円程度とされているため、DPEARLは比較的リーズナブルな価格帯といえます。
支払い方法は、クレジットカードや銀行振込のほか、月々の負担を抑えられるデンタルローンにも対応。ショートプランの場合、月2,760円から始めることが可能です(返済期間10年、金利2%を選択した場合)。
注意点として、プラン料金以外に初診料と、治療開始後の再診料が別途必要です。また、マウスピースの紛失・破損時には再製作費用がかかることも覚えておきましょう。
※価格は2025年10月現在・税込み価格。
DPEARLの一般的な治療の流れを解説!
- 初回カウンセリング予約
- 提携クリニックで検査・相談
- 治療計画とシミュレーションの確認
- マウスピース製作・受取り
- 矯正開始〜完了・保定期間
ここではDPEARLの利用するにあたっての流れを解説しています!
1.初回カウンセリング予約
まずは公式サイトのフォームから、通いやすい提携クリニックを選び、初回カウンセリングの予約をします。WEB予約は24時間対応しているため、日中忙しい方でも空いた時間を使って手軽に申し込むことができます。
まずは担当の歯科医師に、歯並びの悩みや治療に関する疑問を気軽に相談することから始めましょう。
2.提携クリニックで検査・相談
予約したクリニックへ来院し、歯科医師による問診と口腔内のチェックを行います。その後、治療計画を立てるため、歯型取りやレントゲン撮影などを実施。
検査によって現在の歯並びや顎の骨格などを正確に把握し、一人ひとりの口内環境に合わせた治療が可能かどうかを専門的な視点から診断します。治療に関する疑問や不安な点があれば、直接医師に相談できます。
3.治療計画とシミュレーションの確認
検査結果をもとに、一人ひとりに最適化された治療計画が作成されます。併せて、歯がどのように動いていくかを視覚的に確認できる3Dシミュレーションも見ることができます。
治療にかかる期間の目安や費用総額も説明されるため、治療の全体像を具体的に把握した上で、契約するか判断できます。
4.契約・マウスピースの受取り
説明された治療計画と費用に納得できたら契約をします。その後、データをもとに歯科技工所でマウスピースの製作が開始。約2〜3週間かけて、専用のマウスピースが作られます。
完成したらクリニックにて、専用ボックスに入ったマウスピースを受け取ります。
5.矯正スタートと定期通院
マウスピースを受け取ったら、矯正治療を開始します。治療中は、原則として月に1回のペースで通院し、歯科医師による診察を受けます。
通院時には、治療が計画通りに進んでいるかのチェックはもちろん、希望に応じて虫歯治療やクリーニングなども相談可能。また、通院日以外でもLINEを通じていつでも質問や相談ができるため、治療中の不安をすぐに解消できます。
DPEARLに関するよくある質問
DPEARLとインビザラインの違いは?
インビザラインは世界的に実績のあるマウスピース矯正ブランドです。DPEARLとのおもな違いは、料金とサポート体制にあります。
インビザラインはクリニックごとに費用差が大きく、一般的に60〜100万円以上が目安。一方、DPEARLは30万円台から4つの定額プランがあり、費用を抑えやすいのが特長です。
また、DPEARLは月1回の通院とオンライン相談が基本で、継続サポートが手厚いのも魅力。コストを抑えつつサポート重視ならDPEARL、実績重視ならインビザラインが向いています。
DPEARLで矯正に失敗することはある?
どのような矯正でも失敗のリスクはゼロではありません。特にマウスピース矯正で失敗しやすいのは、「装着時間が足りない」「定期通院を怠る」といったケースです。
DPEARLの矯正を成功させるには、1日20時間以上の装着と月1回の通院が大事になります。医師の指示を守ることで、失敗のリスクを大きく減らすことができます。
DPEARLではどのような症例に対応してる?
DPEARLは、軽度の後戻りから、歯並びのガタガタ(叢生)、すきっ歯、受け口(反対咬合)といった複雑な症例まで、幅広く対応しています。
前歯だけでなく、奥歯の噛み合わせまで考慮した全顎矯正を基本としているため、一部分だけでなく口全体のバランスを整えることが可能です。
ただし、最終的に適応可能かどうかは口内の状態によるため、まずは初回カウンセリングで診断してもらうのが重要です。
まとめ
DPEARLは、部分的な歯並びだけでなく全顎矯正にも対応し、短期間で自然な仕上がりを目指せるマウスピース矯正ブランドです。
口コミでは「先生が優しくて安心できた」「透明で目立たないから続けやすい」「思っていたより早く整った」など、実際に治療を受けた方から満足の声が多く寄せられています。
さらに、130項目をチェックする経過管理システムや、30万円台から始められる定額プランなど、DPEARLならではのサポート体制も充実。費用・期間・仕上がりのバランスが取れた矯正を探している方に、ぜひ検討してほしいブランドです。

