この記事では、「ウィスマイル」の評判と実際の口コミを徹底調査しました。
ウィスマイルの特徴や実際の患者さんの声を分析し、どんなマウスピース矯正のシステムなのかご紹介しています。
マウスピース矯正を検討している方はぜひこの記事を参考にしてください!
d latte編集部 まい
歯科衛生士歴8年。個人開業医での勤務を経て、現在は訪問歯科診療に携わる。高齢者の口腔ケアや摂食嚥下機能の維持・向上に情熱を注ぐ。介護施設での口腔ケア指導も行い、多職種連携の重要性を実感している。「口から始まる健康づくり」をモットーに、実践的なアドバイスを発信している。
※本記事で紹介している商品にはPR商品を含みますがランキング・コンテンツ内容はd latte編集部調査をもとに作成しています。また本記事内の情報は一般的な知識であり、自己判断を促すものではありません。
ウィスマイルとは?

引用:ウィスマイル公式
ウィスマイルは、全国の歯科医院の中から厳しい基準をクリアした信頼性の高い医院のみを掲載しているマッチング型サービスです。カウンセリングを通して、インビザライン・クリアコレクト・シュアスマイルなど世界的に信頼されるマウスピースブランドの中から、自分に合ったブランドを選定してくれます。

「横顔美人コース」や「前歯だけの部分矯正」など、Eラインを整えたい方やイベント前に印象を変えたい方におすすめの目的別コンセプトも用意。高品質×審美性を両立しながら、理想の笑顔を目指せるのがウィスマイルの魅力です。
ウィスマイルの良い評判!
ここでは実際にウィスマイルの矯正治療を受けたことのある患者さんの本音の口コミをご紹介しています。
透明で目立たないのが本当に魅力的!
「矯正してるのを周りに知られたくない」「装置が見えるのが恥ずかしい」と、見た目の悩みを抱える方は多いものです。
ウィスマイルのマウスピースは透明度が高く、装着していてもほとんど気づかれません。自然な笑顔を保ちながら矯正できるので、人前に立つ機会が多い方や接客業の方にも人気。
見た目を気にせず治療を続けられるのは、前向きな気持ちを支える大きな魅力ですね。
開始6週間でがたつきが目立たなくなってきた
「本当に動くのかな?」と不安になるのは、矯正を始めたばかりの人に多い悩みです。そんな中、わずか1ヶ月半ほどで歯のがたつきが改善されてきたという口コミがありました。
ウィスマイルでは、矯正歯科医師と相談しながら治療回数を決められるのが特徴です。理想の仕上がりや生活ペース、歯の動き方に合わせて計画を立ててもらえるため、無理なく進められます。短期間でも変化を感じやすいので、モチベーションも高まりますよ。
シミュレーションで矯正後の歯並びが見れるので安心
矯正を始めるとき、「仕上がりが想像できない」「本当にきれいになるのかな」と心配になる方も多いのではないでしょうか。
ウィスマイルでは、口腔内スキャン装置というスキャンシステムで治療後の歯並びを事前に確認することができます。自分の歯がどう変わっていくかを目で見て確かめられると、治療への安心感がぐっと高まりますね。
最初に総額を提示してもらえたので決断できた!
ウィスマイル矯正で、検査費とか調整料も込み込みの総額で最初に提示してもらえたので、決断しちゃいました(°▽°)
— すみっこ。 (@1580Mi) June 17, 2021
「あとから費用が増えたらどうしよう」と不安を感じる人にとって、料金のわかりやすさは大切なポイントです。ウィスマイルでは、初診料や検査費は無料の上、通院ごとにかかる調整料などはプラン料金に入っているため、追加費用の心配がほとんどありません。
最初から金額の見通しが立つことで、納得してスタートできるのが嬉しいところ。費用面で迷っている方も、前向きに一歩を踏み出しやすくなります。
※一部医院は費用負担あり。
※マウスピースの紛失・破損、ホワイトニング、拡大床やミニインプラント、リテーナーの装着、または非常に難症例に該当する場合は費用が発生することがあります。
通院ごとの支払いがなく追加費用の心配がない
私の医院は初診料もかかってないです。コミコミで契約金額の税込で約30万円ですね。毎回の通院のときもお金を支払うことはないです!再スキャンとシミュレーションにもお金かかってないですよ✨
— RANKA@クリアコレクト (@RANKA_8) April 11, 2021
前の口コミにもあるように、矯正の料金については「あとから費用が増えるのでは…」と不安に感じる方が多いものです。
※一部医院は費用負担あり。
※マウスピースの紛失・破損、ホワイトニング、拡大床やミニインプラント、リテーナーの装着、または非常に難症例に該当する場合は費用が発生することがあります。

ウィスマイルは調整料が治療費に含まれているため、通院のたびに追加費用を支払う必要がありません。「次はいくらかかるんだろう」と心配せずに通えるのは、気持ちに余裕をもって治療を続けられる大きなポイントですね。
ウィスマイルの悪い評判は?失敗した人・後悔した人はいる?
矯正治療の効果は個人差があるため、口コミや評判も参考にしながら、受診をする歯科医院の先生ともよく相談をした上で治療を受けるかどうか決めるのが安心です。
説明が少なくて不安を感じた
ウィスマイルの見積もり出来たから歯医者行ったけど、口頭で約半年21万ですとしか言われなくてマウスピース何枚かも何回通うのかも説明されなくてびっくりした
— 田 (@wpdp715) October 19, 2020
カウンセリングで思ったように説明が受けられないと、「この先生で大丈夫かな」と不安になりますよね。ウィスマイルは全国に提携医院があり、担当医師の説明スタイルや対応の丁寧さには個人差があります。
治療は長期間にわたるため、疑問をきちんと聞ける関係性が何より大切。気になる点はその場で相談し、自分に合う担当医を見つけていけると安心です。
プラン内容の説明がわかりにくかった
ウィスマイル矯正12回契約だったんだけど、マウスピース自体は10個だった。後の2個は?って歯医者に聞いたら12回以内って意味ですって言われて、マウスピースが12個って意味ではないと言われた。しかも歯並び満足した訳じゃないのに。12個って思ってたの私だけ!?
— まいも (@dummy818181) May 12, 2021
契約した回数とマウスピースの枚数が違っていて「聞いていた内容と違う」と不安に感じたという声もありました。
ウィスマイルでは、3ヶ月に1回ほどの通院時に治療計画や進行状況を確認しながら進めていくため、その都度しっかりと話を聞くことが大切です。

治療が長く続くからこそ、気になる点は早めに確認しておくと、安心して矯正を続けられますね。
ウィスマイルの特徴を5つご紹介!
ここではウィスマイルの特徴をわかりやすくご紹介します!
最短1回から始められるお試し矯正ができる
「興味はあるけど、いきなり高額な契約は不安…」「痛みや違和感が心配で踏み出せない…」そんな人にぴったりなのが、ウィスマイルのお試し矯正です。
1回分のマウスピースを実際に作製・装着できるため、装着感や見た目をリアルに体感できます。料金は1,650円(税込)からと手軽で、まずは短期間で「自分に合うかどうか」を確認できるのがポイントです。
他社サービスでは、初回相談やスキャンのみで実際の矯正は体験できないケースがほとんど。ウィスマイルなら、「試してから決める」という安心感が得られます。
※価格は2025年10月現在
初診料や調整料などの追加費用がかからない
矯正を始めるときに気になるのが「通院のたびに費用が増えるのでは?」という不安。一般的な矯正では、相談料・検査料・診断料だけで5,000円前後~数万円、さらに月ごとの調整料がかかることも珍しくありません。
ウィスマイルでは、相談料・検査料・診断料・毎月の調整料などが治療費に含まれており、追加請求の心配がほとんどありません。そのため、初めての人でも安心してスタートできます。料金が明確で、長期的にも予算を立てやすいのが魅力です。
※一部医院は費用負担あり。
※マウスピースの再作成、リテーナー(保定装置)、ホワイトニング、拡大床、ミニインプラント、難症例対応などは別途費用がかかる場合があります。
Eラインも笑顔もキレイに整える!目的に合わせたコンセプトプランも
「笑うと口元が出て見える」「横顔に自信が持てない」」など、見た目の印象に悩む女性は少なくありません。ウィスマイルでは、横顔のバランスを整えたい方や、結婚式・パーティーなど大切なイベントを控えた方など、目的に合わせた治療コンセプトが用意されています。
部分矯正から全体矯正まで幅広く対応しており、Eラインや笑顔の印象をより美しく整えたい方におすすめ。かわいい・きれいな顔立ちを手に入れたい人にぴったりのサービスです。
※適応症例は限定されます。
世界トップシェアの高品質マウスピースを採用
「マウスピース矯正は品質が気になる」「安すぎると不安…」という人も多いはず。ウィスマイルでは、世界的に信頼される主要ブランド(インビザライン・クリアコレクト・シュアスマイル)のマウスピースを使用。いずれもフィット感・透明度・耐久性に優れています。
通常、単独で契約すると高額になりがちですが、ウィスマイルでは提携によるコスト削減で、同品質をリーズナブルな価格で提供。品質と価格のバランスを重視したい人にぴったりです。
全国146院の提携クリニックで通いやすい
地方に住んでいると、「近くに矯正できる歯科がない」「都市部に行かないと治療が受けられない」と感じることがあるかもしれません。
ウィスマイルなら全国146院の提携クリニックがあり、都市部以外の地域でも質の高いマウスピース矯正を受けられます。提携医院は、年間1000症例以上の実績を持つドクターや国際的な資格を有する矯正専門医が在籍する医院など、厳しい基準を満たした医院のみ。
遠くまで通う手間がなく、通いやすさと安心を両立できるのがウィスマイルの魅力です。
※2025年10月現在
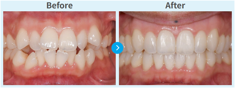
ウィスマイルの症例写真
症例1前歯部のズレ

治療費用:231,000円 (税込)
治療期間:約4ヶ月
リスク:虫歯・歯肉炎・歯周病・ブラックトライアングル・歯根吸収・歯肉退縮・1日20時間以上のマウスピース装着が必須・マウスピースにより痛みを感じる可能性・治療中に一時的に噛み合わせに不具合をきたす可能性※効果には個人差があります。
引用元:ウィスマイル正公式ホームページ
症例2 叢生の歯並び

治療費用:660,000円 (税込)
治療期間:約9ヶ月
リスク:虫歯・歯肉炎・歯周病・ブラックトライアングル・歯根吸収・歯肉退縮・1日20時間以上のマウスピース装着が必須・マウスピースにより痛みを感じる可能性・治療中に一時的に噛み合わせに不具合をきたす可能性※効果には個人差があります。
引用元:ウィスマイル正公式ホームページ
症例3 上顎・下顎の叢生

治療費用:880,000円 (税込)
治療期間:約11ヶ月
リスク:虫歯・歯肉炎・歯周病・ブラックトライアングル・歯根吸収・歯肉退縮・1日20時間以上のマウスピース装着が必須・マウスピースにより痛みを感じる可能性・治療中に一時的に噛み合わせに不具合をきたす可能性※効果には個人差があります。
引用元:ウィスマイル正公式ホームページ
ウィスマイルの矯正費用はどれぐらい?
| プラン名 | 動的治療期間(目安) | 費用 | デンタルローン/月額 |
|---|---|---|---|
| 1回コース | – | 1,650円 | – |
| 8回コース | 約1.5ヶ月〜2.5ヶ月 | 23.1万円 | 1,925円~ |
| 12回コース | 3~4ヵ月 | 35.2万円 | 2,940円~ |
| 18回コース | 4~6ヶ月 | 51.7万円 | 4,310円~ |
| 24回コース | 5~9ヶ月 | 66万円 | 5,500円~ |
| 30回コース | 10ヶ月以上 | 88万円 | 7,340円~ |
| 難症例コース | 12ヶ月以上 | 別途見積り | – |
ウィスマイルのマウスピース矯正は、回数に応じた定額制プランが用意されています。
初診料・調整料などが治療費に含まれているため、「通うたびに追加費用が発生する」心配がほとんどありません。支払いは、現金・クレジットカード・デンタルローンから選べ、月々1,925円(税込)〜の分割払いにも対応。
他社のマウスピース矯正(例:インビザライン)では、全体矯正で70万〜120万円かかるケースもあるため、同品質の装置を使いながら費用を抑えられる点もウィスマイルの大きな魅力です。
※一部医院では、初診料や調整料が別途かかる場合があります。
※マウスピースの再作成、リテーナー(保定装置)、ホワイトニング、拡大床、ミニインプラント、難症例対応などは別途費用がかかる場合があります。
※デンタルローンの分割手数料は別途。
※最大分割回数は医院により異なります。
ウィスマイルの一般的な治療の流れを解説!
- 提携医院を予約
- カウンセリング・診断
- マウスピースの作成
- 治療の開始
- 治療完了・保定期間
ここではウィスマイルの利用するにあたっての流れを解説しています!
1.提携医院を予約
ウィスマイルの公式サイトから、近くの提携クリニックを検索して予約します。希望するエリアや日時を選び、氏名や連絡先などの必要事項を入力するだけで完了。
スマホから簡単に申し込めるので、忙しい方でもスムーズに予約できます。
2.カウンセリング・診断
初回検診(約30〜60分)では、矯正歯科医師が歯並びや噛み合わせを丁寧にチェックします。相談・検査・診断をまとめて受けられ、費用はかかりません。
検査結果をもとに、治療期間や回数、費用の目安を説明してもらえるため納得してから治療を検討できます。
※初診料や診断内容は医院により異なります。
3.マウスピースの作成
契約が完了したら、歯型の採取を行い専用のマウスピース製作に進みます。採取したデータをもとに、精密な設計と発注を行うため、歯並びにぴったりフィットする矯正装置が完成します。
所要時間は約30分ほどで、痛みもほとんどなくスムーズに進みます。
4.治療の開始
マウスピースが完成したら、取り扱いや装着方法の説明を受けたあと、装置を受け取り治療がスタートします。治療期間は個人差がありますが、目安はおよそ3〜11ヶ月ほどです。
マウスピースは1日約20時間の装着が必要ですが、食事や歯磨きのときには取り外しが可能。透明度が高く目立ちにくいため、仕事中や外出時でも気づかれにくく、普段どおりの生活を送りながら矯正を進められます。
5.治療完了・保定期間
理想の歯並びになったら治療完了です。ただし、治療直後は歯が元の位置に戻ろうとするため、一定期間はリテーナー(保定装置)の使用が必要になります。
保定期間をしっかり守ることで、整った歯並びを長くキープすることができます。
ウィスマイルに関するよくある質問
ウィスマイルとOh my teeth(オーマイティース)の違いは?
どちらも透明なマウスピースを使った矯正で、費用がわかりやすい定額制や目立ちにくいデザインなどの共通点があります。
ウィスマイルは2〜3ヶ月に1度の通院で、部分矯正から全体矯正まで幅広いプランを選べるのが特徴です。一方、Oh my teeth(オーマイティース)はAI技術を活用したオンライン重視型で、通院回数が少なく料金はシンプルな2プラン制になっています。
ウィスマイルのデメリットはある?
ウィスマイルは提携クリニックでの治療が基本となるため、オンライン完結型に比べて通院の手間がかかります。
また、マウスピースは1日20時間以上の装着が必要なため、装着時間を守れないと効果が出にくい点にも注意が必要です。ただし2~3か月ごとの通院時、医師による定期チェックで安全に矯正を進められるのが魅力です。
ウィスマイルの初診料はかかる?
ウィスマイルでは、初回の相談・検査・診断は基本的に無料で受けられます(※一部医院は費用負担あり)。一般的に5,000円~数万円かかる初回検査費用が不要なため、「まずは話を聞いてみたい」という方でも気軽に相談できます。
まとめ
ウィスマイルは、全国の中でも厳しい基準を満たした信頼性の高い医院のみを提携し、世界的に実績のあるインビザライン・クリアコレクト・シュアスマイルなどの高品質マウスピースを取り扱うサービスです。口コミでは「透明で目立たないのが嬉しい」「6週間で変化を感じた」といった前向きな声が多く見られました。
さらに、初診料や検査料がかからず、通院時の調整料もプランに含まれているため、費用面の不安を感じにくいのもポイント。高品質でありながらリーズナブルに始められる点が、多くの利用者に選ばれている理由です。※一部医院は費用負担あり。
ウィスマイルは、安心・納得できる環境でマウスピース矯正を受けたい方にぴったりのサービス。見た目も印象も前向きに変えていきたい方は、まず無料カウンセリングから相談してみるのがおすすめです。

