この記事では、「hanarabi」の評判と実際の口コミを徹底調査しました。
hanarabiの特徴や実際の患者さんの声を分析し、どんなマウスピース矯正のシステムなのかご紹介しています。
マウスピース矯正を検討している方はぜひこの記事を参考にしてください!
d latte編集部 まり
歯科衛生士歴10年。審美歯科・ホワイトニング専門クリニックで美容面からの口腔ケアに携わる。患者さんの「美しい笑顔」を引き出すことにやりがいを感じている。SNSでの情報発信も行い、正しいセルフケア方法の普及に努める。プライベートでは趣味の写真撮影を通じて、笑顔の大切さを再認識している。
※本記事で紹介している商品にはPR商品を含みますがランキング・コンテンツ内容はd latte編集部調査をもとに作成しています。また本記事内の情報は一般的な知識であり、自己判断を促すものではありません。
hanarabiとは?

引用:hanarabi公式
hanarabiは、「誰もが矯正を受けられる世界をつくる」をコンセプトにした日本発のマウスピース矯正ブランドです。
矯正専門の歯科医師がチームで治療プランを考え、一人ひとりに寄り添った丁寧なサポートを提供しているのが魅力。一番の特徴は、LINEを使ってオンラインで経過観察ができる点で、通院回数を最低限に抑えられます。
費用も総額30万〜60万円前後のわかりやすい3プラン制。矯正が初めての方でも検討しやすいサービスです。
\ 公式HPはこちら! /

矯正治療って費用や通院の負担がネックになりがちですが、LINEでフォローしてもらえるなら患者さんも続けやすそうですよね。明確な料金設定も、カウンセリングで案内しやすいポイントになりそうです。
hanarabiの良い評判!
ここでは実際にhanarabiの矯正治療を受けたことのある患者さんの本音の口コミをご紹介しています。
自宅のチェックでも丁寧に見守ってもらえる安心感
17枚のマウスピースで
— なずこ@体質を数値化→改善【歯列矯正&肌診断実施中】 (@nazukoskin) April 3, 2024
終わる予定だったのですが
シミュレーションまでもう一歩!
ということで追加4枚で再調整中です
とことん丁寧に向き合ってくれる
歯列矯正に出会えてよかった🙌🌸https://t.co/PFcm80pFqc#マウスピース21個目/(17+4個) #hanaravi #ハナラビ #歯列矯正
「通院が少ないとちゃんと見てもらえるのかな」と心配になる方も多いのではないでしょうか。hanarabiでは、2週間ごとに自宅で撮影した写真を送って経過をチェックしてもらえるほか、必要に応じて再調整にも対応してくれます。
さらに、365日対応のメディカルチームがLINEで相談を受け付けてくれるため、困った時もすぐに頼れるのが心強いところ。サポートの手厚さをしっかり感じられるのが嬉しいポイントです。
見た目の変化に気づける喜びがモチベーションに
ふと写真を見返していたら、
— 田中 希蘭 (@k03yuki09c) August 13, 2022
髪型もかなり変わったけど笑、歯並びもこんなに変わっていた🦷✨
「hanaravi」さん、綺麗にしてくださって本当にありがとうございます😌✨#hanaravi #ハナラビ #口コミ pic.twitter.com/3352WxgtAA
矯正を始めたものの「本当に変わっているのかな?」と不安になる時期もありますよね。そんな中で、写真を見返して歯並びの変化に気づけると、一気に気持ちが明るくなります。
hanarabiは、少しずつの変化を自然に実感できる仕上がりが魅力。笑顔がより明るくなると、見た目だけでなく気持ちまで前向きになれます。
リーズナブルだからこそ理想の仕上がりを目指せる
矯正を始めるときに気になるのが、仕上がりと費用のバランスですよね。hanarabiは、他のマウスピース矯正と比べてリーズナブルな価格帯で、3Dシミュレーション映像を見ながら期間や仕上がりを確認できます。
費用を抑えながらも自分の希望に合わせた治療を選べるので、「もう少し整えたい」という本当の理想に近づけるサービスと言えます。
人に気づかれず続けられる手軽さがうれしい
4月から歯科矯正を始めてよかったこと!
— まーほ🌈ダイエット垢 (@diet_159cm_maho) August 16, 2022
・マウスピースなので取り外せる✨
・付けてても気付かれたことない😊
・お家にマウスピース届いて、LINEで
写真から進捗確認できるから楽々🙆♀️
自信を持って笑顔になれる日が楽しみ🙌#hanaravi #ハナラビ #口コミ
「装置が目立つのはイヤ…」と矯正をためらっていた人も、透明で目立ちにくいhanarabiなら安心です。
装着していることが周りにほとんど気づかれず、食事や歯磨きの際は簡単に取り外せるので、普段通りの生活を送れます。矯正中でも見た目を気にすることなく、友人とのランチや大切な予定も思いきり楽しめるのは嬉しいポイントです。
これからの変化が楽しみ
#hanaravi #ハナラビ
— NANA (@kyledia) July 28, 2024
本日よりハナラビさんのhanaraui Mediumにてマウスピース矯正をはじめました。
見ての通り前歯が重なってるし、下もガタつきがあるのでどう変化していくのかがドキドキです。
お値段45万
期間10ヶ月予定
どれくらいで変化してくるのかが楽しみです。 pic.twitter.com/pf7mcrg0Ql
歯の重なりやガタつきがあると、「本当にきれいに整うのかな」と不安になる方も多いでしょう。
hanarabiなら、治療を始める前に3Dシミュレーションで歯が動いていく様子を事前に確認できます。ゴールまでの道のりが具体的に見えるので、漠然とした不安が「これからキレイになるんだ!」というワクワクに変わります。
自分の歯並びの未来をイメージしながら、楽しく矯正を始められるのが嬉しいですね。
\ 公式HPはこちら! /

矯正治療を受ける患者様の率直な声からは、見た目の変化だけでなく心の面での安心感も大切にされていることが伝わってきます。こうした期待に応えられる環境づくりが重要ですね。
hanarabiの悪い評判は?失敗した人・後悔した人はいる?
矯正治療の効果は個人差があるため、口コミや評判も参考にしながら、受診をする歯科医院の先生ともよく相談をした上で治療を受けるかどうか決めるのが安心です。
治療が難しいと言われた
私自身歯がめちゃめちゃガタガタじゃないからhanaraviいけるって思ってたけど、犬歯が奥に入っちゃってて結構特殊な歯並びらしく…矯正が難しい?らしい(その他の歯は結構綺麗な並び方してると思ってる、私は。)
— 🍋 (@V1Kder) June 15, 2024
hanaraviはまじで軽度な人しか対応してないんだなって思った https://t.co/JCiIdg4woQ
「そこまで歯並びは悪くない」と思って相談したのに、想定外に「治療が難しい」と言われて戸惑ったという声がありました。犬歯の位置や噛み合わせの深さなど、自分では気づきにくい要因で適応外になることもあるようです。
見た目だけでは判断が難しい部分も多いので、まずはカウンセリングでしっかり確認してもらうことが大切ですね。
安さの理由が気になり不安に感じた
歯並び治したいんやけどhanaraviってどうなんやろ?めっちゃ安いけど「協力歯科医師の「価格を下げることで歯並びを治す選択肢を増やしたい」という想いの結果、」安いってのが一番怪しい。そんなボランティア精神なん?
— すみれ💐婚活&美容垢 (@sumire_9_love) June 28, 2023
費用が手頃だと「安いのは嬉しいけれど、品質は大丈夫かな?」と不安になる方も少なくありません。
hanarabiは「矯正のハードルを下げ、もっと身近にしたい」という想いから生まれたサービスです。元大学病院の経験豊富な歯科医師がカウンセリングを担当しており、専門的な視点からしっかり見てもらえる安心感があります。
しかし、費用面で不安が残る場合は他の矯正サービスとも比較して、納得できるサービスを選ぶのがおすすめです。
hanarabiの特徴を5つご紹介!
ここではhanarabiの特徴をわかりやすくご紹介します!
矯正専門の歯科医師が治療プランを作成
初めて矯正を検討している方の中には、「自分の歯並びでも本当にきれいになるのか」「痛みや失敗が心配」と不安を感じる人も少なくありません。
hanarabiでは、矯正を専門とする歯科医師が一人ひとりに最適な治療プランを作成します。さらに、治療プランは複数の歯科医師が協議して方針を決めるため、歯の動かし方から最終的な仕上がりまで、精密に設計されているのが特徴です。
専門医による一貫した体制が整っているため、初めての方でも安心して治療を任せられます。
オンライン診療とLINEサポートで通院回数を最小限に
「平日は仕事で予定が詰まっている」「子どもがいるから通院の時間が取れない」そんなライフスタイルの人でも矯正を始めやすいのが、hanaraviです。
hanaraviの特徴は、オンライン診療とLINEサポートを使い、通院の回数をできるだけ少なく抑えている点です。初回の無料相談と検査でクリニックに行ったあとは、自宅で定期的に歯の写真を撮り、LINEで送るだけ。医師が状態を確認し、必要に応じて指示やアドバイスを行ってくれます。
通院は本当に必要なときだけなので、生活リズムを崩さずに治療を続けられるのが魅力です。
3Dシミュレーションで治療後の仕上がりを確認できる
hanarabiでは、治療を始める前に3Dシミュレーションで歯の動きや仕上がりを事前に確認できます。治療後のイメージを視覚的に確認できるため、「思っていた仕上がりと違った」という心配がなくなり、安心して治療をスタートできます。
事前に完成イメージを見ることで治療の流れへの理解が深まり、納得して矯正に臨めるでしょう。
歯並びの状態に合わせて選べる3つの矯正プラン
「前歯の隙間だけ整えたい」「全体をしっかり直したい」など、矯正に求めることは人それぞれ。hanarabiでは、歯並びの状態や仕上がりの希望に合わせて3つのプランを用意しており、軽度の部分矯正から中度の矯正まで幅広く対応しています。
料金の目安はおよそ30万円から60万円ほど。症例の難易度や治療期間に応じて選択できるため、自分に合った方法で無理なく矯正を進めることができます。
矯正と同時に行える国内承認薬のホワイトニングケア
「歯並びが整っても、歯の色が気になる」という方にうれしいのが、hanaraviのホワイトニングケアです。矯正中でも同時にホワイトニングができ、口元全体の印象を明るくすることができます。
マウスピースに専用ジェルをつけるだけで、自宅で簡単にケアが可能。使用されるのは国内で承認を受けた薬剤のみで、安全性にも配慮されています。矯正とホワイトニングを並行して進められるため、自然で清潔感のある口元を目指せます。
※初回無料。追加分は ホワイトニング剤1本あたり2,200円(税込)。
※価格は、2025年10月現在。
\ 公式HPはこちら! /
hanarabiの症例写真
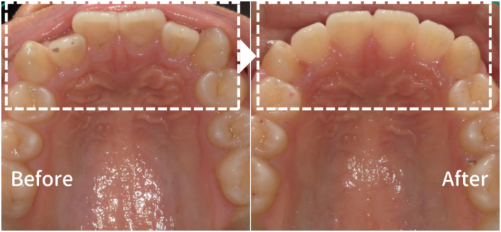
症例1 ガタガタ(叢生)

治療費用:月々3,600円(税込330,000円)
治療期間:約3ヶ月リスク:虫歯・歯肉炎・歯周病・ブラックトライアングル・歯根吸収・歯肉退縮。1日20時間以上のマウスピース装着が必要。マウスピースにより痛みを感じる可能性あり。治療中に一時的にかみ合わせに不具合をきたす可能性あり。リテーナーを最低1年間は1日20時間以上装着し、その後徐々に着用時間を減らし、2年目以降は夜間のみの着用が推奨。
※効果には個人差があります。(年利2.5%で106回払いの場合)引用元:hanarabi公式ホームページ
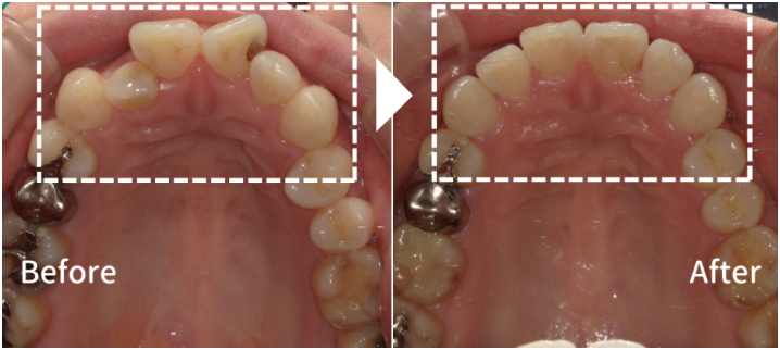
症例2 ガタガタ(叢生)

治療費用:月々6,300円 (税込660,000円)
治療期間:約8ヶ月リスク:虫歯・歯肉炎・歯周病・ブラックトライアングル・歯根吸収・歯肉退縮。1日20時間以上のマウスピース装着が必要。マウスピースにより痛みを感じる可能性あり。治療中に一時的にかみ合わせに不具合をきたす可能性あり。リテーナーを最低1年間は1日20時間以上装着し、その後徐々に着用時間を減らし、2年目以降は夜間のみの着用が推奨。
※効果には個人差があります。(年利2.5%で106回払いの場合)引用元:hanarabi公式ホームページ
hanarabiの矯正費用はどれぐらい?
| プラン名 | 概要 | 費用 | 矯正期間の目安 |
|---|---|---|---|
| Basicプラン | 軽度な歪みやガタつき | 33万円 | 5〜7ヶ月 |
| Mediumプラン | 軽〜中度な歪みやガタつき | 49.5万円 | 7〜10ヶ月 |
| Proプラン | 中度以上の歪みやガタつき | 66万円 | 8〜18ヶ月 |
hanarabiの料金プランは、歯並びの状態に合わせて選べる3種類。ワイヤー矯正を組み合わせる「ハイブリッド矯正」にも対応しています。
支払い方法は一括払いのほか、クレジットカードやデンタルローンでの分割払いも可能で、月々1.6万円から始めることもできます。
【料金プランに含まれるもの】
- 治療後の歯並びをキープするリテーナー(1セット分)
- ホワイトニング剤(初回分)
【別途費用がかかる可能性のあるもの】
- 初回の検査料
- リテーナーの追加購入(紛失した場合など)
- ホワイトニング剤の追加購入など
治療に必要な費用は基本的にプラン料金に含まれており、「後から追加費用がかさんでしまう」という心配が少ない料金体系となっています。
※価格は2025年10月現在。税込み価格。
\ 公式HPはこちら! /
hanarabiの一般的な治療の流れを解説!
- クリニックで無料相談・カウンセリング
- 口腔内3Dスキャンで精密な歯型を取得
- 仕上がりイメージと治療プランの確認
- マウスピースの受け取り・装着スタート
- 定期的な経過観察とアフターフォロー
ここではhanarabiの利用するにあたっての流れを解説しています!
1.クリニックで無料相談・カウンセリング
hanarabiの提携クリニックで無料相談の予約をします。無料相談は、公式サイトや公式LINEからでも予約可能。
現在の歯並びや噛み合わせを確認しながら、どんな仕上がりを目指したいかを歯科医師と一緒に話し合います。この段階で費用や治療期間、マウスピース矯正が自分に向いているかどうかも丁寧に説明してもらうことができます。
しっかりと納得してから検査に進めるので、安心して相談できます。
2.口腔内3Dスキャンで精密な歯型を取得
精密検査では、最新の3Dスキャナーを使って口腔内を撮影します。従来のように粘土のような型取り材を使用しないため、不快感が少なく短時間で正確なデータが取得可能。3Dデータをもとに、矯正専門医が歯の動かし方や治療方針を設計します。
より正確な分析ができることで仕上がりの精度も高まり、理想に近い矯正を実現できます。
3.仕上がりイメージと治療プランの確認
データをもとに作成された3Dシミュレーションと治療プランが、後日LINEで共有されます。実際にどのように歯が動いていくのかを映像で確認できるため、「思っていた仕上がりと違う」といったミスマッチを防げるのが大きなメリット。
仕上がりイメージはオンラインで確認できるだけでなく、来院して歯科医師から直接説明を受けることも可能。プラン内容やスケジュールに納得できたら、正式に治療を開始します。
4.マウスピースの受け取り・装着スタート
治療が始まると、マウスピースが毎月自宅に届きます。専用のチューイーや保管ケースも同封されており、届いた日からすぐに装着ができます。
マウスピースは透明で薄い素材のため、装着していても見た目にはほとんどわかりません。食事や歯みがきのときは取り外せるため、日常生活に支障をきたすことも少ないのが特徴です。
5.定期的な経過観察とアフターフォロー
hanarabiでは、定期的な通院の代わりにオンラインでの経過観察が中心となります。
2週間ごとに自宅で歯の写真を撮影し、LINEで送信することで医師が経過をチェック。通院の手間を減らしながらも、医師と連携して進められるのが安心ポイントです。万が一、痛みや違和感がある場合もLINEで気軽に相談できます。
治療が完了した後は、歯並びの後戻りを防ぐためにリテーナー(保定用マウスピース)を装着。hanaraviでは保定期間までサポートしており、美しい歯並びを長く維持するためのフォロー体制も整っています。
hanarabiに関するよくある質問
hanarabiとインビザラインの違いは?
インビザラインは世界的に最も知られているマウスピース矯正で、通院しながら治療を進めるスタイルです。全体の歯並びや噛み合わせまでしっかり治したい方に向いており、費用はおおよそ80万〜120万円ほどが一般的です。
一方、hanarabiは最小限の通院で治療を進めることができる新しいタイプ。軽度〜中程度の歯並びを対象としており、最短5か月ほどで治療が完了するケースもあります。治療範囲を絞ることで費用を抑えやすく、総額は30~60万円前後と始めやすい価格帯が魅力です。※価格は2025年10月現在。
hanarabiの治療期間はどのくらい?
歯並びの状態によって異なりますが、軽度のケースでおよそ5〜7か月、中程度で7〜10か月、難易度が高い場合でも8〜18か月が目安です。
主に軽度から中度までの歯並びを対象としているため、平均すると半年から1年ほどで完了するケースが多く見られます。
hanarabiがおすすめの人は?
hanarabiは、忙しくて通院の時間を取りにくい方や、できるだけ目立たずに矯正したい方におすすめです。LINEを使ったオンラインチェックで自宅から治療を進められるため、仕事や育児で忙しい方でも続けやすいのが特徴。
また部分的な歯並びをきれいにしたい人にも向いています。軽度〜中度の歯並びに対応しているため、初めてマウスピース矯正を検討する方にも選ばれています。
まとめ
hanarabiでは、矯正を専門とする歯科医師が一人ひとりの症例を確認し、複数の医師で治療プランを検討。専門的な視点から無理のない矯正を提案してくれます。
また、初回検査のあとは自宅から写真を送るだけで経過確認ができるため、通院の負担が少ないのも魅力。3Dシミュレーションで治療前に仕上がりを確認できるので、納得して始められます。口コミでも「丁寧に向き合ってくれた」「理想の仕上がりに満足」といった声が寄せられ、安心して続けられる矯正として信頼を集めています。

