この記事では、「スマイルモア」の評判と実際の口コミを徹底調査しました。
スマイルモアの特徴や実際の患者さんの声を分析し、どんなマウスピース矯正のシステムなのかご紹介しています。
マウスピース矯正を検討している方はぜひこの記事を参考にしてください!
d latte編集部 ゆうこ
歯科衛生士歴15年のベテラン。矯正歯科専門医院で長年勤務し、小児から成人まで幅広い年代の矯正治療をサポート。患者さんの治療に対する不安を和らげることを得意とし、丁寧なカウンセリングに定評がある。新人歯科衛生士の指導にも力を入れており、後進育成の視点から現場の課題を発信している。
※本記事で紹介している商品にはPR商品を含みますがランキング・コンテンツ内容はd latte編集部調査をもとに作成しています。また本記事内の情報は一般的な知識であり、自己判断を促すものではありません。
スマイルモアとは?

引用:スマイルモア矯正公式
スマイルモアは、東京に本社を置く日本発のマウスピース矯正ブランドです。前歯の歯並びを整えることに特化しており、必要な部分だけを短期間・低価格で効率よく整えられるのが大きな特徴。全体矯正よりも手頃な価格で、初めての方でも無理なく始めやすいのが魅力です。
マウスピースは、世界的に信頼されているメーカーや実績のある国産ブランドを採用し、品質面でも安心。さらに、提携クリニックは全国の主要都市を中心に拡大しており、通いやすさの面でも今後さらに体制が整っていく見込みです。
「気になる部分だけ整えたい」「費用を抑えて矯正を始めたい」という方に向いている、シンプルで続けやすい矯正サービスです。

部分矯正は「ここだけ気になる」という患者さんのニーズにぴったり合いますよね。費用も期間も抑えられるから、矯正に一歩踏み出せなかった方への提案の選択肢が広がるのは心強いですね。
スマイルモアの良い評判!
ここでは実際にスマイルモアの矯正治療を受けたことのある患者さんの本音の口コミをご紹介しています。
3Dシミュレーションで矯正後の歯並びを見て安心できた
ずっと歯並びが気になってたから思いきって歯列矯正の相談に行ってみた🦷✨
— 祐天寺ちゃん (@ringlyu) May 29, 2023
無料で3dシュミレーションができるので矯正終了時の歯並びもイメージできた🫶
スマイルモアでやることにした🐰🤍#pr #スマイルモア矯正 pic.twitter.com/EBU1FkRuzb
矯正を始める前、「本当にうまくいくのかな」といった不安から、一歩を踏み出せない方も多いのではないでしょうか。スマイルモアでは無料の3Dシミュレーションで、治療後の歯並びを事前に確認できるのが嬉しいポイント。
仕上がりを自分の目で見られると、迷いが安心に変わります。納得した上でスタートできるので、初めての矯正でも前向きに一歩を踏み出せますよ。※一部の提携院では費用が異なる場合があります。
通院して進める安心感でスマイルモアを選んだ
通院を全くしないグローリースマイルと迷いましたが、スマイルモアで矯正することに決めました!
— みさ@スマイルモア矯正 (@Smilemore888) July 22, 2023
グローリースマイルはお医者さんを通さないので安く矯正をすることが出来ます。
無料カウンセリングで、いろんな角度で撮った歯の写真を送り、矯正可能と判断してもらいましたが… 続く
ネットで調べたところ、
— みさ@スマイルモア矯正 (@Smilemore888) July 22, 2023
マウスピース矯正は歯と歯の間を削って隙間を作ったりして歯を動かしていくのが一般的なようで、
歯医者に通わないで行うグローリースマイルは私には合わないのかな?と思い、
歯医者に通うタイプにしました!
でも値段はすごく魅力的!!軽度の方にはいいのかも…?
オンライン完結型の矯正は手軽で魅力的ですが、「途中で気になることが合ったらどうしたらいいの…」と不安を感じる人も少なくありません。
スマイルモアでは、3ヶ月に1度の通院で歯科医師がしっかりと経過をチェックしてくれます。専門家に直接診てもらえることで、小さな不安や違和感もその場で相談できます。見守ってもらえる環境があると、矯正を最後まで前向きに続けやすくなりますね。
再矯正でも気軽に始められる価格とスピード感が魅力
人生2回目の歯科矯正する事にした🦷
— マリア🎠🪽 (@knst_mr) March 24, 2023
3年前のインビザライン矯正は人生変わるほど満足してるんだけど、やっぱり少し後戻りしたのともう少しデザインを変えたくて以前より安くてクイックでやれる矯正歯科( #スマイルモア )選んだ◎ https://t.co/NGGJ13APY8… pic.twitter.com/UmEN856v7X
一度矯正を終えた人でも、「少し歯が戻ってきた」「もう少し整えたい」と感じることもあるでしょう。スマイルモアは、前歯の部分だけに特化した矯正なので、全体矯正のように高額な費用をかける必要がありません。
必要な部分だけ集中して整えられるので、リーズナブルな価格で短期間のうちに理想のバランスを取り戻せます。無駄を省いて効率よく整えたい人にもぴったりです。
通院が少なくても安心して続けられる
マウスピース矯正
— なすたべ🍆グルメ旅とカフェ巡り (@nasutabe_food) April 1, 2023
キレイラインで12回くらいやったけど放置2年経過→後戻りのためスマイルモアで再度やり直す!!
毎回通院だったらワーホリ中どうしようと思ったけど、5回目くらいから一気にもらえるらしい!通院しないといけない期間はギリ日本にいるから大丈夫そう!!
仕事や家事に追われて自分の時間がなかなか取れないという方にとって、通院の負担が少ないかどうかは矯正を続ける上で大きなポイントになるのではないでしょうか。
スマイルモアは3ヶ月に1度の通院で、複数回分のマウスピースをまとめて受け取れるため、スケジュールが不規則な人でも安心して進められます。限られた期間の中でも無理なく矯正に取り組めるのは心強いですね。
1年の治療を経て笑顔で話せるようになった
マウスピース矯正での通院をしました。 歯並びが悪くて悩んで居ましたが1年経った今では笑顔で人と話せるようになりました。自信がつきました。ありがとうございました。
歯並びのコンプレックスは、自信や表情にも大きく影響してしまうものです。人前で笑うことをためらったり、写真を避けてしまったりと知らないうちに気持ちまで塞ぎこんでしまうこともあります。

スマイルモアで治療を始めた方の中には、矯正後に「自然と笑えるようになった」「人と話す時間が楽しくなった」と前向きな変化を実感する声も。
口元を気にせず過ごせるようになると、毎日が少しずつ明るく感じられるようになりますね。
スマイルモアの悪い評判は?失敗した人・後悔した人はいる?
矯正治療の効果は個人差があるため、口コミや評判も参考にしながら、受診をする歯科医院の先生ともよく相談をした上で治療を受けるかどうか決めるのが安心です。
SNS広告の多さに不安を感じた
スマイルモア矯正のインスタ広告がすごい流れてくるんだけどぶっちゃけどうなんだろう…気になる!実際にされた方、口コミお願いします🥺#スマイルモア #歯列矯正 #矯正
— heiseigal (@saki1926763) July 13, 2025
SNSで広告ばかり見かけると、「本当に大丈夫かな」と慎重になることもあるかもしれません。
スマイルモアは初回カウンセリングや検査が無料なので、気になる方はまず話を聞きに行ってみるのも良いかもしれません。実際の雰囲気を知るだけでも安心につながりますよ。※一部の提携院では費用が異なる場合があります。
費用面がネックで再検討することにした
スマイルモア矯正気になって、カウンセリング行ってきた💡
— りょう@小鼻縮小DT (@lm_mmg2leo) March 28, 2023
ローンもう組みたくないし、カードの上限足りないから、今度ってことにして契約はしなかった。
後戻りのみだから短期のプランで30万8千円、終了後のリテーナー上下各3万円
ほかも調べて良さそうなら30万貯めてからまた来るわ…
料金の負担はどうしても気になるところですよね。スマイルモアは部分矯正に特化しているため、全体矯正よりも費用を抑えやすいのが特徴です。

無理のないタイミングで始めたい方は、まずは貯蓄をしてから再検討してみたり、カウンセリングで情報収集から始めてみるのもおすすめです。自分のペースで進めてみましょう。
スマイルモアの特徴を5つご紹介!
ここではスマイルモアの特徴をわかりやすくご紹介します!
業界水準よりリーズナブルな価格帯
「歯並びを整えたいけれどワイヤー矯正は高くて手が出ない…」と悩む方も多いのではないでしょうか。
一般的なマウスピース矯正が40万〜100万円ほどかかるのに対し、スマイルモアは18.7万円(税込)から始められるのが大きな魅力です。価格の理由は、見た目の印象を左右する前歯を対象とした「部分矯正」に特化している点にあります。※価格は2025年10月現在。
歯全体の矯正と比べて治療範囲を絞ることで、手頃な価格でしっかりと整えることができます。
初回カウンセリングや検査など初期費用が無料
「矯正相談に行きたいけど、検査だけで費用がかかるのは気が引ける…」と相談前の初期費用がネックになる方も少なくありません。
スマイルモアでは、初回のカウンセリングはもちろん、治療計画に必要なレントゲン撮影や歯型の3Dスキャンといった検査が無料で受けられます。
そのため、費用的なリスクを気にすることなく、「まずは自分の歯の状態を知りたい」「マウスピース矯正が自分に合うか確かめたい」という目的で気軽に足を運べるのが大きなメリットです。
※一部の提携院では費用が異なる場合があります。
最短3ヶ月で効果を実感できる
矯正治療は時間がかかるイメージがあるため、結婚式や転職といった大切なイベントを前に「今からでは間に合わないかも…」と、治療をためらってしまう方も多いのではないでしょうか。
スマイルモアは、おもに前歯の歯並びを整える部分矯正のため、歯全体を動かす矯正に比べて治療期間が短いのが大きな特徴。早い方では3ヶ月ほどで治療が完了します。
歯並びの状態によって治療期間は一人ひとり異なりますが、年単位の治療をイメージしていた方にとっては、ぐっとハードルが下がるのではないでしょうか。「大事なイベントまでに印象を良くしたい」といった具体的な目標がある方にも、検討しやすい矯正方法です。
世界的に信頼性の高いマウスピースを使用
「リーズナブルな価格だと使用するマウスピースの品質が気になる…」という方もいるかもしれません。毎日、長時間口の中に入れるものだからこそ、安全性は譲れないポイントです。
スマイルモアでは、世界で2000万人以上の実績を持つ「インビザライン」をはじめ、実績のある国産メーカーのマウスピースを採用しています。
どのマウスピースが最適かは、一人ひとりの歯並びや希望に応じて歯科医師が判断し、最適な治療法を提案してくれます。実績と品質が確かなものを厳選しているため、安心して治療を進められますね。
3ヶ月に1回の通院でしっかりサポート
「頻繁に通院するのは大変…」「でも、まったく通院がない矯正だと何かあったときに不安…」といった通院の頻度とサポートのバランスは気になるところです。
スマイルモアは、約3ヶ月に1度の通院で治療を進めていきます。通院時には歯科医師が、歯が計画通りに動いているか、口の中にトラブルが起きていないかなどを直接チェック。通院の負担は少なくしつつも、専門家による対面でのサポートが定期的に受けられるのは、大きな安心につながります。

初期費用が無料だと患者さんも相談のハードルが下がりますし、3ヶ月に1度の通院ペースなら診療スケジュールの調整もしやすいですね。短期間で結果が見えるのも、モチベーション維持につながりそうです。
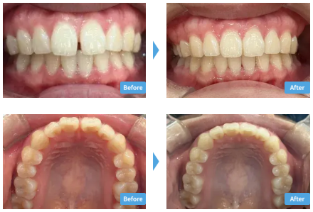
スマイルモアの症例写真
症例1 ガタガタ・出っ歯

治療費用:360,000円(税込396,000円)
治療期間:4ヶ月
治療内容:マウスピースを用いた歯列矯正
施追加治療:IPR主なリスク:虫歯・歯周病・ブラックトライアングル・歯根吸収・歯肉退縮・1日20時間以上のマウスピース装着が必須・マウスピースにより痛みを感じる可能性・治療中に一時的にかみ合わせに不具合をきたす可能性・リテーナーを最低1年間は1日20時間以上装着、その後徐々に着用時間を減らし、2年目以降は夜間のみの着用推奨。
※効果には個人差があります
引用元:スマイルモア矯正ホームページ
症例2 ガタガタ・出っ歯

治療費用:360,000円(税込396,000円)
治療期間:9ヶ月
治療内容:マウスピースを用いた歯列矯正
施追加治療:IPR主なリスク:虫歯・歯周病・ブラックトライアングル・歯根吸収・歯肉退縮・1日20時間以上のマウスピース装着が必須・マウスピースにより痛みを感じる可能性・治療中に一時的にかみ合わせに不具合をきたす可能性・リテーナーを最低1年間は1日20時間以上装着、その後徐々に着用時間を減らし、2年目以降は夜間のみの着用推奨。
※効果には個人差があります
引用元:スマイルモア矯正ホームページ
症例3 すきっ歯

治療費用:360,000円(税込396,000円)
治療期間:5ヶ月
治療内容:マウスピースを用いた歯列矯正
施追加治療:なし主なリスク: 虫歯・歯周病・ブラックトライアングル・歯根吸収・歯肉退縮・1日20時間以上のマウスピース装着が必須・マウスピースにより痛みを感じる可能性・治療中に一時的にかみ合わせに不具合をきたす可能性・リテーナーを最低1年間は1日20時間以上装着、その後徐々に着用時間を減らし、2年目以降は夜間のみの着用推奨。
※効果には個人差があります
引用元:スマイルモア矯正ホームページ
スマイルモアの矯正費用はどれぐらい?
| プラン名 | 費用 | デンタルローン (月額目安) |
|---|---|---|
| 軽度 | 18.7万円~33万円 | 約3,000円~ |
| 中度 | 33万円~42.9万円 | 約4,400円~ |
| 重度 | 42.9万円~ | 約5,700円~ |
スマイルモアの費用は、歯並びの状態に応じた3つのプランが基本です。軽度の場合は総額18.7万円からと、始めやすい価格が魅力。支払い方法は現金やクレジットカードのほか、デンタルローンを利用すれば月々3,000円程度からの分割払いも可能です。
基本的にカウンセリングや検査などの初期費用は無料ですが、一部の提携院では異なる場合があるため予約時に確認しておくとより安心です。
※価格は2025年10月現在・税込み価格。
スマイルモアの一般的な治療の流れを解説!
- 無料カウンセリングを予約
- 提携クリニックで検査・診断
- 治療計画と費用の確認
- 契約の検討・申し込み
- マウスピースを受け取り治療開始
ここではスマイルモアの利用するにあたっての流れを解説しています!
1.無料カウンセリングを予約
まずは、スマイルモアの公式サイトから無料カウンセリングを予約します。スマホやPCから約30秒で簡単に手続きが完了するため、忙しい方でも空いた時間で気軽に予約できるのが嬉しいポイントです。
「まずは話を聞いてみたい」「自分の歯並びは対象になる?」といった相談だけでも問題ありません。治療を始めるか悩んでいる方も気軽に専門家に相談ができます。
2.提携クリニックで検査・診断
予約日に提携クリニックへ来院し、精密検査に進みます。レントゲン撮影や口腔内スキャン(3Dスキャン)などで、歯や顎の状態を詳しく調べていきます。
検査で得られた精密なデータをもとに、一人ひとりに合った治療計画が作成されます。スマイルモアでは、これらの検査を基本的に無料で受けられる点も大きな特徴です。
※一部の提携院では費用が異なる場合があります。
3.治療計画と費用の確認
精密検査のデータをもとに、担当の歯科医師が具体的な治療計画、期間、総額費用などを丁寧に説明してくれます。
あわせて、3Dシミュレーションで治療後の歯並びの変化を立体的な映像で確認することができます。事前に仕上がりのイメージがわかるため、納得して治療を検討できるのが大きなメリット。疑問や不安があれば、この場で質問することができます。
4.契約の検討・申し込み
治療計画や費用について説明を受けた後、契約に進むかどうかを判断します。スマイルモアでは、その場で契約を急がされることはありません。
提示された資料などを一度持ち帰り、自宅でしっかり検討することが可能です。納得した上で契約できるため、安心して次のステップに進むことができます。
5.マウスピースを受け取り治療開始
契約・支払いが完了すると、オーダーメイドのマウスピースが製作されます。クリニックで受け取る際には、歯科医師から装着方法やお手入れといった詳しい説明があるので、初めての方でも安心です。
治療が始まった後は、約3ヶ月に1度のペースで通院し、経過をチェックしてもらいます。定期的な診察で、治療中の疑問や不安も相談しやすい環境が整っているのが嬉しいですね。
スマイルモアに関するよくある質問
「スマイルモアはやばい」という口コミは本当?
「やばい」という口コミは、矯正サービス全般で良い意味でも悪い意味でも見られます。「価格が安すぎてやばい」という肯定的な声もあれば、治療への期待とのズレから不満の声が出てしまうケースもあるかもしれません。
スマイルモアでは初回のカウンセリングや検査が無料なので、まずは直接話を聞いてみることをおすすめします。その上で、他のサービスと比較しながら検討してみるのが良いでしょう。※一部の提携院では費用が異なる場合があります。
スマイルモアとキレイラインの違いは?
どちらも前歯中心の部分矯正を手頃な価格で始められる点で似ていますが、料金体系に大きな違いがあります。
スマイルモアは初回検査などが原則無料で、治療全体の総額が提示されるのが特徴です。一方、キレイラインは都度払いが選べる柔軟性があるものの、初回検診料などが別途かかります。
通院頻度も異なるため、希望に合う方をカウンセリングで直接話を聞き、比較検討するのがおすすめです。
矯正しながらホワイトニングはできる?
スマイルモアでは、料金にホワイトニング剤(最低1本分)が含まれています。矯正用のマウスピースをそのままホワイトニングにも使用できるため、歯並びを整えながら、同時に歯を白くしていくことができます。
ただし、ホワイトニング剤を使い始める最適なタイミングなど、詳細は担当の歯科医師に相談してください。※16歳未満の方への使用は推奨されていません。
まとめ
スマイルモアの魅力は、部分矯正に特化しているからこそ実現できる「短期間×低価格×安心品質」のバランスにあります。
口コミでも「3Dシミュレーションで仕上がりがイメージできた」「通院が少なく続けやすい」「再矯正でも気軽に始められた」など、実際に利用した方の前向きな声が多く見られました。一方で、SNS広告を見て慎重になる人や、費用面でタイミングを考える人もいますが、初回カウンセリングが無料のため、まずは話を聞いてみるだけでも安心です。※一部の提携院では費用が異なる場合があります。
スマイルモアは、「自分に合う範囲で、ムリなく歯並びを整えたい」と考える方におすすめの矯正ブランドです。気になる方は、近くの提携クリニックで無料相談から始めてみてはいかがでしょうか。

